-

精选转载 | 上海浦东医院:PTS呼吸介入化学精准消融为高龄肺癌患者打通 “生命气道”

2025-12-04

精选转载 | 上海浦东医院:PTS呼吸介入化学精准消融为高龄肺癌患者打通 “生命气道”

大家谈消融
2025年12月4日 08:50

特色技术 | 呼吸介入化学精准消融为高龄肺癌患者打通 “生命气道”

牛阿男 粟玲 上海市浦东医院 2025年11月21日 19:09

图片

近日,上海市浦东医院(复旦大学附属浦东医院)呼吸与危重症医学科凭借精湛医术,开展经气管镜中央型肺癌化学消融治疗,成功为一例高龄患者打通被肺癌阻塞的呼吸通道,患者呼吸不畅显著改善。这标志着医院在呼吸介入治疗领域取得新突破,也为肺癌患者带来了新的治疗选择。


80岁的老先生因胸闷不适就诊浦东医院,经检查发现右肺上叶占位,考虑“肺癌”伴阻塞性肺不张,胸外科王冬冬医生评估后考虑患者高龄、晚期肿瘤无法进行手术治疗。经呼吸与危重症医学科张子强主任充分评估病情后决定联合一种全新的治疗方案——经支气管镜引导下PTS(甲苯磺酰胺注射液)局部化学消融治疗

图片


为确保治疗安全有效,张子强主任团队术前联合麻醉手术中心团队评估患者耐受度,与家属充分沟通治疗措施及预期效果后,决定分次实施气管镜介入治疗(冷冻消融+瘤内注射PTS化学消融)。


图片
图片

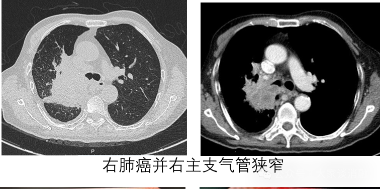
在支气管镜引导下,首次支气管镜下可见肿瘤组织已堵塞右主支气管,狭窄超过90%,且病变累及范围广泛(超过3cm)。张子强主任经支气管镜冷冻冻取部分肿瘤组织后,将PTS药物注射至剩余瘤体内部,2日后行支气管镜检查可见右主支气管可见较多肿瘤坏死组织,予以清理,并为患者进行第二次PTS治疗,隔日再次通过支气管镜检查可见右主支气管肿瘤进一步坏死,右主支气管管腔逐渐恢复通畅。治疗后,右主支气管管腔从狭窄大于90%到通畅>90%,患者胸闷症状得到明显缓解,日常活动基本不受限制。结合全身肿瘤治疗后,患者顺利出院。


图片

科普课堂

图片

甲苯磺酰胺注射液(PTS)是目前国内唯一获批用于肿瘤内注射的化学消融药物,具有“高效、低毒、广谱”的特点。与传统物理消融术相比,其核心优势在于:可通过支气管镜精准将药物注射至瘤体内,实现“由内而外” 的肿瘤细胞凝固性坏死,既能有效降低肿瘤负荷,而对正常细胞几乎没有损伤,选择性高。

张子强主任介绍:“作为一种创新的肿瘤治疗策略,我院开展该类新技术,通过精确地向肿瘤注射化学药物PTS,可以实现对气道或气管旁肿瘤的高效而精准的消融,改善病情、提高患者生活质量,并为后续其他治疗创造条件。”


复旦大学附属浦东医院呼吸与危重症医学科娴熟开展各种呼吸内镜介入技术,尤其是在对于肺部不明原因病变、肺部肿瘤的介入诊疗方面积累了丰富经验。PTS局部化学消融术适应症包括:恶性气道狭窄、气道肿瘤、气管旁肿瘤、肿瘤纵隔淋巴结转移等。本次在高龄患者经支气管镜引导下应用PTS(甲苯磺酰胺注射液)局部化学消融术的成功开展,拓宽了肺癌呼吸介入治疗领域的应用,将为更多肺部肿瘤患者提供新的治疗选择。

本文转载自公众号:上海市浦东医院



-END- 仅供医药专业人士参考

图片


分享